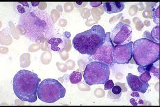
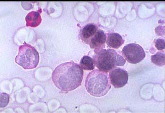
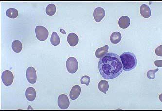
某贫血患者的血涂片、骨髓涂片、PAS染色分别如图所示,下列说法正确的是 ( )A、细胞内外铁均增高B、白细胞数正常或减低C、MCV升高...

作者: rantiku 人气: - 评论: 0
问题 某贫血患者的血涂片、骨髓涂片、PAS染色分别如图所示,下列说法正确的是 ( )
选项 A、细胞内外铁均增高 B、白细胞数正常或减低 C、MCV升高,MCH升高,MCHC正常,RDW升高 D、这类贫血患者血涂片上可见点彩红细胞、H-J小体及有核红细胞 E、该患者为大细胞正色素性贫血
答案 ABCDE
解析

猜你喜欢

发表评论
更多 网友评论0 条评论)
暂无评论

访问排行

Copyright © 2012-2014 恰考网 Inc. 保留所有权利。 Powered by tikuer.com

页面耗时0.0311秒, 内存占用1.03 MB, Cache:redis,访问数据库19次