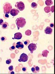
某患者血涂片见图1,骨髓涂片见图2,该患者可能为 ( )A、遗传性球形红细胞增多症B、铁粒幼细胞贫血C、巨幼细胞贫血D、阵发性冷性血红...

作者: rantiku 人气: - 评论: 0
问题 某患者血涂片见图1,骨髓涂片见图2,该患者可能为 ( )
选项 A、遗传性球形红细胞增多症 B、铁粒幼细胞贫血 C、巨幼细胞贫血 D、阵发性冷性血红蛋白尿症 E、温抗体型自身免疫性溶血性贫血
答案 ADE
解析

猜你喜欢

发表评论
更多 网友评论0 条评论)
暂无评论

访问排行

Copyright © 2012-2014 恰考网 Inc. 保留所有权利。 Powered by tikuer.com

页面耗时0.0316秒, 内存占用1.03 MB, Cache:redis,访问数据库20次