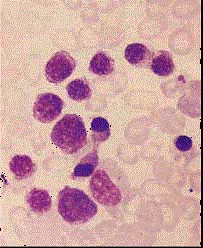
某患者血涂片和骨髓涂片分别见图,该患者可能为 ( )A、慢性失血B、急性失血C、再障D、缺铁性贫血E、巨幼细胞贫血

作者: rantiku 人气: - 评论: 0
问题 某患者血涂片和骨髓涂片分别见图,该患者可能为 ( )
选项 A、慢性失血 B、急性失血 C、再障 D、缺铁性贫血 E、巨幼细胞贫血
答案 AD
解析

猜你喜欢

发表评论
更多 网友评论0 条评论)
暂无评论

访问排行

Copyright © 2012-2014 恰考网 Inc. 保留所有权利。 Powered by tikuer.com

页面耗时0.0297秒, 内存占用1.03 MB, Cache:redis,访问数据库19次