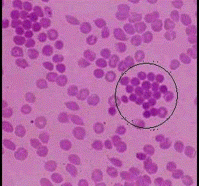
如图所示的异常红细胞增多可见于 ( ) A、温抗体型自身免疫性溶血性贫血B、PNHC、β地中海贫血D、遗传性球形红细胞增多症E、α地中海贫血

作者: rantiku 人气: - 评论: 0
问题 如图所示的异常红细胞增多可见于 ( )
选项 A、温抗体型自身免疫性溶血性贫血 B、PNH C、β地中海贫血 D、遗传性球形红细胞增多症 E、α地中海贫血
答案 AD
解析

猜你喜欢

发表评论
更多 网友评论0 条评论)
暂无评论

访问排行

Copyright © 2012-2014 恰考网 Inc. 保留所有权利。 Powered by tikuer.com

页面耗时0.0326秒, 内存占用1.03 MB, Cache:redis,访问数据库18次