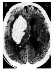
58岁,男性高血压患者。爬山时突发一侧肢体无力。3小时后偏瘫。脑CT见图。可能的诊断为A:高血压脑病 B:脑转移瘤 C:脑血栓形成 D:脑出血 E...

作者: tihaiku 人气: - 评论: 0
问题 58岁,男性高血压患者。爬山时突发一侧肢体无力。3小时后偏瘫。脑CT见图。

可能的诊断为
选项 A:高血压脑病 B:脑转移瘤 C:脑血栓形成 D:脑出血 E:脑栓塞
答案 D
解析 本题考查目的是综合临床资料,CT图像作出脑血管病的诊断。本病例为急性起病的脑血管疾病。脑血管病分为缺血性卒中和出血性卒中。脑血栓形成、短暂脑缺血发作、脑栓塞均为缺血性卒中范畴。高血压性脑出血为出血性卒中。根据脑缺血性卒中和出血性卒中的鉴别诊断表。可以得出高血压性脑出血为正确答案。脑转移癌起病较慢,而且CT的病灶周围有大片水肿,为迷惑答案。

相关内容:男性,高血压,患者,突发,一侧,肢体,无力,3小时,偏瘫,可能,诊断,脑病,脑血栓,脑出血

猜你喜欢

发表评论
更多 网友评论0 条评论)
暂无评论

访问排行

Copyright © 2012-2014 恰考网 Inc. 保留所有权利。 Powered by tikuer.com

页面耗时0.0314秒, 内存占用1.04 MB, Cache:redis,访问数据库18次