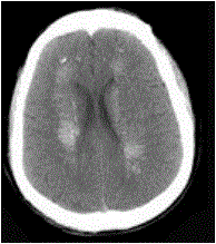
男,52岁,无明显不适,CT检查如图所示,最可能的诊断为()A.脑血管畸形B.结节性硬化C.甲状旁腺低功能下D.脑颜面血管瘤 ...

作者: rantiku 人气: - 评论: 0
问题 男,52岁,无明显不适,CT检查如图所示,最可能的诊断为()
选项 A.脑血管畸形 B.结节性硬化 C.甲状旁腺低功能下 D.脑颜面血管瘤 E.转移瘤
答案 C
解析

猜你喜欢

发表评论
更多 网友评论0 条评论)
暂无评论

访问排行

Copyright © 2012-2014 恰考网 Inc. 保留所有权利。 Powered by tikuer.com

页面耗时0.0414秒, 内存占用1.03 MB, Cache:redis,访问数据库20次