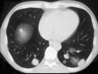
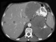
女,38岁,低热乏力并消瘦2月余,CT如图所示,下列说法正确的是()A.左侧肾上腺区巨大的占位性病灶考虑为肾上腺癌B.左侧肾上腺区巨大的占位性...

作者: rantiku 人气: - 评论: 0
问题 女,38岁,低热乏力并消瘦2月余,CT如图所示,下列说法正确的是()
选项 A.左侧肾上腺区巨大的占位性病灶考虑为肾上腺癌 B.左侧肾上腺区巨大的占位性病灶考虑为嗜铬细胞瘤 C.左侧肾上腺区巨大的占位性病灶考虑为肾上腺腺瘤 D.肺内多发小结节病灶,考虑为肺转移瘤 E.肺内多发小结节病灶,考虑为肺结核
答案 AD
解析

猜你喜欢

发表评论
更多 网友评论0 条评论)
暂无评论

访问排行

Copyright © 2012-2014 恰考网 Inc. 保留所有权利。 Powered by tikuer.com

页面耗时0.0333秒, 内存占用1.03 MB, Cache:redis,访问数据库19次