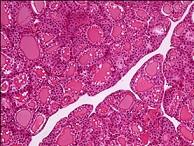
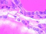
结合下列图片,以下说法正确的是()A.甲状腺的基本组织结构和功能单位甲状腺滤泡B.甲状腺滤泡呈球形,直径约15~500μm,滤泡中间充...

作者: rantiku 人气: - 评论: 0
问题 结合下列图片,以下说法正确的是()
选项 A.甲状腺的基本组织结构和功能单位甲状腺滤泡 B.甲状腺滤泡呈球形,直径约15~500μm,滤泡中间充满了粉红色粘胶样物质 C.甲状腺滤泡外周为多层排列整齐的滤泡上皮细胞 D.甲状腺滤泡上皮细胞的形态随甲状腺的功能状态而变化,亢进时细胞多呈高柱状;功能静止或减退时呈扁平状 E.滤泡腔内的胶质体含有大量甲状腺球蛋白,供机体代谢所需。
答案 ABDE
解析

猜你喜欢

发表评论
更多 网友评论0 条评论)
暂无评论

访问排行

Copyright © 2012-2014 恰考网 Inc. 保留所有权利。 Powered by tikuer.com

页面耗时0.0489秒, 内存占用1.03 MB, Cache:redis,访问数据库18次