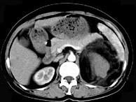
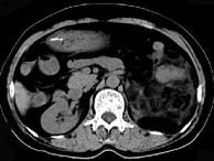
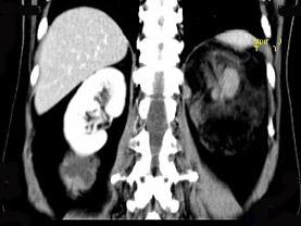
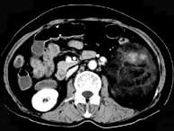
女,64岁,左侧腰部胀痛,行CT扫描,下列说法正确的是()A.左肾区可见一巨大的占位性病灶,境界较清楚,胰腺尾部受压向前推移B.该病灶...

作者: rantiku 人气: - 评论: 0
问题 女,64岁,左侧腰部胀痛,行CT扫描,下列说法正确的是()
选项 A.左肾区可见一巨大的占位性病灶,境界较清楚,胰腺尾部受压向前推移 B.该病灶密度不均匀,其内可见脂肪密度影,且呈不均匀强化 C.考虑为左肾来源的血管平滑肌脂肪瘤 D.考虑为左侧肾上腺来源的髓样脂肪瘤 E.考虑为腹膜后来源的脂肪肉瘤
答案 ABC
解析

猜你喜欢

发表评论
更多 网友评论0 条评论)
暂无评论

访问排行

Copyright © 2012-2014 恰考网 Inc. 保留所有权利。 Powered by tikuer.com

页面耗时0.0378秒, 内存占用1.03 MB, Cache:redis,访问数据库18次