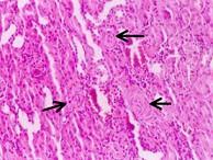
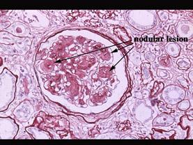
关于糖尿病肾病,下列正确的是()A.弥漫性肾小球硬化症最常见,但特异性低B.糖尿病肾病引起的蛋白尿随着进行性肾功能衰竭而减少C.1...

作者: rantiku 人气: - 评论: 0
问题 关于糖尿病肾病,下列正确的是()
选项 A.弥漫性肾小球硬化症最常见,但特异性低 B.糖尿病肾病引起的蛋白尿随着进行性肾功能衰竭而减少 C.1型糖尿病病人常死于肾功能衰竭 D.结节性肾小球硬化症,具高度特异性 E.移植到糖尿病病人的正常肾脏发生糖尿病肾病的病理变化
答案 ACDE
解析

猜你喜欢

发表评论
更多 网友评论0 条评论)
暂无评论

访问排行

Copyright © 2012-2014 恰考网 Inc. 保留所有权利。 Powered by tikuer.com

页面耗时0.0428秒, 内存占用1.03 MB, Cache:redis,访问数据库17次