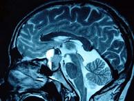
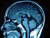
男,47岁,头痛三年余,最近2个月感觉视力下降,MRI检查如图,最可能的诊断为()A.垂体瘤B.颅咽管瘤C.垂体囊肿D.垂体腺瘤囊...

作者: rantiku 人气: - 评论: 0
问题 男,47岁,头痛三年余,最近2个月感觉视力下降,MRI检查如图,最可能的诊断为()
选项 A.垂体瘤 B.颅咽管瘤 C.垂体囊肿 D.垂体腺瘤囊变 E.脑膜瘤
答案 D
解析

猜你喜欢

发表评论
更多 网友评论0 条评论)
暂无评论

访问排行

Copyright © 2012-2014 恰考网 Inc. 保留所有权利。 Powered by tikuer.com

页面耗时0.0789秒, 内存占用1.02 MB, Cache:redis,访问数据库14次