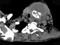
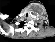
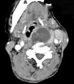
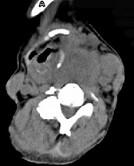
女,64岁,双甲状腺占位40余天。如图所示甲状腺病灶应诊断为()A.结节性甲状腺肿B.甲状腺腺瘤C.甲状腺癌并淋巴结转移D.甲...

作者: rantiku 人气: - 评论: 0
问题 女,64岁,双甲状腺占位40余天。如图所示甲状腺病灶应诊断为()
选项 A.结节性甲状腺肿 B.甲状腺腺瘤 C.甲状腺癌并淋巴结转移 D.甲状腺转移瘤 E.甲状腺结核
答案 C
解析

猜你喜欢

发表评论
更多 网友评论0 条评论)
暂无评论

访问排行

Copyright © 2012-2014 恰考网 Inc. 保留所有权利。 Powered by tikuer.com

页面耗时0.0394秒, 内存占用1.03 MB, Cache:redis,访问数据库19次