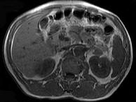
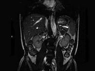
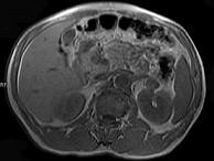
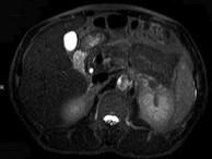
男,52岁,下肢无力伴多饮多尿2年余,实验室检查:低血钾,血醛固酮水平及24小时尿醛固酮定量超过正常值,MRI检查如图所示,应诊断为()A...

作者: rantiku 人气: - 评论: 0
问题 男,52岁,下肢无力伴多饮多尿2年余,实验室检查:低血钾,血醛固酮水平及24小时尿醛固酮定量超过正常值,MRI检查如图所示,应诊断为()
选项 A.左肾上腺囊肿 B.左肾上腺腺瘤 C.左肾上腺嗜铬细胞瘤 D.左肾上腺髓脂瘤 E.左肾上腺转移瘤
答案 B
解析

猜你喜欢

发表评论
更多 网友评论0 条评论)
暂无评论

访问排行

Copyright © 2012-2014 恰考网 Inc. 保留所有权利。 Powered by tikuer.com

页面耗时0.0338秒, 内存占用1.03 MB, Cache:redis,访问数据库18次