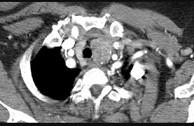
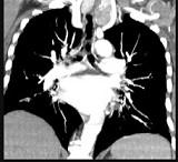
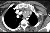
40岁,女,发现颈部肿块,随吞咽上下移动,触之无搏动,咳嗽、气喘一周,请结合CT检查选择最可能的诊断()A.胸腺瘤B.胸内甲状腺瘤...

作者: rantiku 人气: - 评论: 0
问题 40岁,女,发现颈部肿块,随吞咽上下移动,触之无搏动,咳嗽、气喘一周,请结合CT检查选择最可能的诊断()
选项 A.胸腺瘤 B.胸内甲状腺瘤 C.无名动脉瘤 D.无名动脉伸展扭曲 E.淋巴瘤
答案 B
解析

猜你喜欢

发表评论
更多 网友评论0 条评论)
暂无评论

访问排行

Copyright © 2012-2014 恰考网 Inc. 保留所有权利。 Powered by tikuer.com

页面耗时0.0453秒, 内存占用1.03 MB, Cache:redis,访问数据库18次