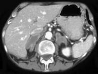
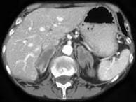
男,65岁,体检时超声发现双侧肾上腺肿块,CT检查如图所示,请结合图像,选择最佳答案()A.双侧肾上腺转移瘤B.双侧肾上腺结核C.双侧嗜铬...

作者: rantiku 人气: - 评论: 0
问题 男,65岁,体检时超声发现双侧肾上腺肿块,CT检查如图所示,请结合图像,选择最佳答案()
选项 A.双侧肾上腺转移瘤 B.双侧肾上腺结核 C.双侧嗜铬细胞瘤 D.双侧肾上腺增生 E.双侧肾上腺腺瘤
答案 A
解析

猜你喜欢

发表评论
更多 网友评论0 条评论)
暂无评论

访问排行

Copyright © 2012-2014 恰考网 Inc. 保留所有权利。 Powered by tikuer.com

页面耗时0.0358秒, 内存占用1.03 MB, Cache:redis,访问数据库19次