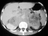
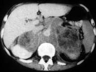
男,76岁,全身浅表淋巴结肿大,请结合下列图片作出诊断()A.肾上腺腺瘤B.肾上腺癌C.肾上腺嗜铬细胞瘤D.肾上腺转移瘤E.肾上腺淋巴瘤

作者: rantiku 人气: - 评论: 0
问题 男,76岁,全身浅表淋巴结肿大,请结合下列图片作出诊断()
选项 A.肾上腺腺瘤 B.肾上腺癌 C.肾上腺嗜铬细胞瘤 D.肾上腺转移瘤 E.肾上腺淋巴瘤
答案 E
解析

猜你喜欢

发表评论
更多 网友评论0 条评论)
暂无评论

访问排行

Copyright © 2012-2014 恰考网 Inc. 保留所有权利。 Powered by tikuer.com

页面耗时0.0572秒, 内存占用1.03 MB, Cache:redis,访问数据库16次