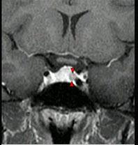
女,38岁,头痛、闭经,MRI检查如图,选择最可能的诊断()A.垂体囊肿B.垂体梗死C.转移瘤D.垂体微腺瘤E.垂体脓肿

作者: rantiku 人气: - 评论: 0
问题 女,38岁,头痛、闭经,MRI检查如图,选择最可能的诊断()
选项 A.垂体囊肿 B.垂体梗死 C.转移瘤 D.垂体微腺瘤 E.垂体脓肿
答案 D
解析

猜你喜欢

发表评论
更多 网友评论0 条评论)
暂无评论

访问排行

Copyright © 2012-2014 恰考网 Inc. 保留所有权利。 Powered by tikuer.com

页面耗时0.0485秒, 内存占用1.03 MB, Cache:redis,访问数据库20次