男,47岁,视物模糊数月,头痛、恶心、呕吐3天,行MRI检查如图,最可能的诊断为()A.颅咽管瘤B.脑膜瘤C.垂体瘤并出血D.蛛网膜囊...

作者: rantiku 人气: - 评论: 0
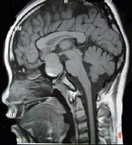
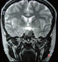
问题 男,47岁,视物模糊数月,头痛、恶心、呕吐3天,行MRI检查如图,最可能的诊断为()
选项 A.颅咽管瘤 B.脑膜瘤 C.垂体瘤并出血 D.蛛网膜囊肿 E.表皮样囊肿
答案 C
解析

猜你喜欢

发表评论
更多 网友评论0 条评论)
暂无评论

访问排行

Copyright © 2012-2014 恰考网 Inc. 保留所有权利。 Powered by tikuer.com

页面耗时0.0335秒, 内存占用1.03 MB, Cache:redis,访问数据库15次