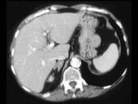
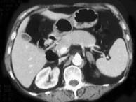
女,42岁,夜尿增多伴高血压,实验室检查:血和尿醛固酮水平增加,请结合图像,选择最佳答案()A.双侧肾上腺增生B.双侧肾上腺腺瘤C.双侧肾...

作者: rantiku 人气: - 评论: 0
问题 女,42岁,夜尿增多伴高血压,实验室检查:血和尿醛固酮水平增加,请结合图像,选择最佳答案()
选项 A.双侧肾上腺增生 B.双侧肾上腺腺瘤 C.双侧肾上腺未见异常 D.双侧肾上腺转移瘤 E.双侧肾上腺淋巴瘤
答案 A
解析

猜你喜欢

发表评论
更多 网友评论0 条评论)
暂无评论

访问排行

Copyright © 2012-2014 恰考网 Inc. 保留所有权利。 Powered by tikuer.com

页面耗时0.0660秒, 内存占用1.03 MB, Cache:redis,访问数据库17次