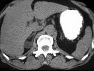
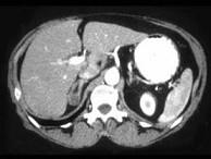
女,35岁,无意中发现血压高,实验室检查:血和尿中醛固酮水平增高,请结合所提供图像,作出诊断()A.右肾上腺增生B.右肾上腺Cushing腺瘤...

作者: rantiku 人气: - 评论: 0
问题 女,35岁,无意中发现血压高,实验室检查:血和尿中醛固酮水平增高,请结合所提供图像,作出诊断()
选项 A.右肾上腺增生 B.右肾上腺Cushing腺瘤 C.右肾上腺皮质腺瘤 D.右肾上腺转移瘤 E.右肾上腺囊肿
答案 C
解析

猜你喜欢

发表评论
更多 网友评论0 条评论)
暂无评论

访问排行

Copyright © 2012-2014 恰考网 Inc. 保留所有权利。 Powered by tikuer.com

页面耗时0.0391秒, 内存占用1.03 MB, Cache:redis,访问数据库20次