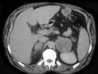
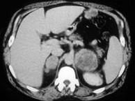
男,56岁,有恶性黑色素瘤病史,请结合图像,作出诊断()A.肾上腺腺瘤B.肾上腺髓样脂肪瘤C.肾上腺癌D.肾上腺转移瘤E.肾上腺嗜...

作者: rantiku 人气: - 评论: 0
问题 男,56岁,有恶性黑色素瘤病史,请结合图像,作出诊断()
选项 A.肾上腺腺瘤 B.肾上腺髓样脂肪瘤 C.肾上腺癌 D.肾上腺转移瘤 E.肾上腺嗜铬细胞瘤
答案 D
解析

猜你喜欢

发表评论
更多 网友评论0 条评论)
暂无评论

访问排行

Copyright © 2012-2014 恰考网 Inc. 保留所有权利。 Powered by tikuer.com

页面耗时0.0385秒, 内存占用1.02 MB, Cache:redis,访问数据库14次