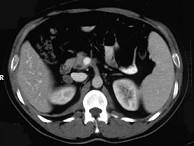
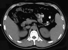
女,23岁,满月脸、向心性肥胖,CT扫描如图所示,应诊断为()A.右侧肾上腺增生B.右侧肾上腺腺瘤C.右侧肾上腺腺癌D.右侧肾上腺嗜铬...

作者: rantiku 人气: - 评论: 0
问题 女,23岁,满月脸、向心性肥胖,CT扫描如图所示,应诊断为()
选项 A.右侧肾上腺增生 B.右侧肾上腺腺瘤 C.右侧肾上腺腺癌 D.右侧肾上腺嗜铬细胞瘤 E.右侧肾上腺转移瘤
答案 B
解析

猜你喜欢

发表评论
更多 网友评论0 条评论)
暂无评论

访问排行

Copyright © 2012-2014 恰考网 Inc. 保留所有权利。 Powered by tikuer.com

页面耗时0.0768秒, 内存占用1.03 MB, Cache:redis,访问数据库17次