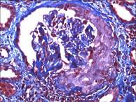
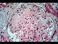
糖尿病肾病特异性的病理改变是()A.肾动脉硬化B.渗出性病变C.结节性肾小球硬化性病变D.膜性肾病E.弥漫性肾小球硬化性病变

作者: rantiku 人气: - 评论: 0
问题 糖尿病肾病特异性的病理改变是()
选项 A.肾动脉硬化 B.渗出性病变 C.结节性肾小球硬化性病变 D.膜性肾病 E.弥漫性肾小球硬化性病变
答案 C
解析

猜你喜欢

发表评论
更多 网友评论0 条评论)
暂无评论

访问排行

Copyright © 2012-2014 恰考网 Inc. 保留所有权利。 Powered by tikuer.com

页面耗时0.0495秒, 内存占用1.03 MB, Cache:redis,访问数据库13次