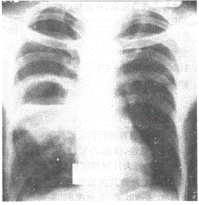
阅读胸片病灶部位A.右肺下野B.右肺上野C.右肺中野D.左肺E.纵隔

作者: rantiku 人气: - 评论: 0
问题 阅读胸片 病灶部位
选项 A.右肺下野 B.右肺上野 C.右肺中野 D.左肺 E.纵隔
答案 C
解析

猜你喜欢

发表评论
更多 网友评论0 条评论)
暂无评论

访问排行

Copyright © 2012-2014 恰考网 Inc. 保留所有权利。 Powered by tikuer.com

页面耗时0.0380秒, 内存占用1.03 MB, Cache:redis,访问数据库20次