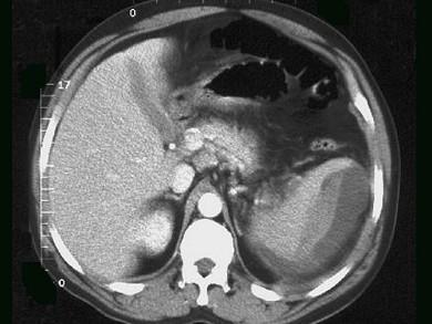
男,54岁,外伤后十余天,左季肋区疼痛、肿胀。CT检查如图,最佳的诊断是 ( )A、脾梗死B、脾扭转C、脾包膜下血肿D、脾挫裂伤E、脾...

作者: rantiku 人气: - 评论: 0
问题 男,54岁,外伤后十余天,左季肋区疼痛、肿胀。CT检查如图,最佳的诊断是 ( )
选项 A、脾梗死 B、脾扭转 C、脾包膜下血肿 D、脾挫裂伤 E、脾破裂实质内血肿
答案 C
解析

猜你喜欢

发表评论
更多 网友评论0 条评论)
暂无评论

访问排行

Copyright © 2012-2014 恰考网 Inc. 保留所有权利。 Powered by tikuer.com

页面耗时0.0648秒, 内存占用1.03 MB, Cache:redis,访问数据库16次