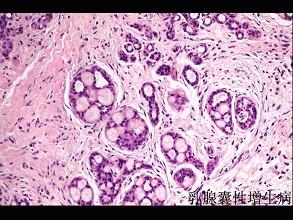
双侧乳房肿块,月经前胀痛,月经来潮后缓解,应首先考虑 ( )A、乳房结核B、乳腺囊性增生病C、乳腺癌D、急性乳腺炎E、乳腺纤维腺瘤

作者: rantiku 人气: - 评论: 0
问题 双侧乳房肿块,月经前胀痛,月经来潮后缓解,应首先考虑 ( )
选项 A、乳房结核 B、乳腺囊性增生病 C、乳腺癌 D、急性乳腺炎 E、乳腺纤维腺瘤
答案 B
解析

猜你喜欢

发表评论
更多 网友评论0 条评论)
暂无评论

访问排行

Copyright © 2012-2014 恰考网 Inc. 保留所有权利。 Powered by tikuer.com

页面耗时0.0395秒, 内存占用1.03 MB, Cache:redis,访问数据库17次