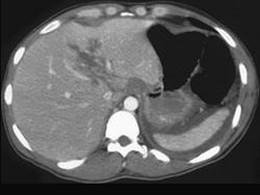
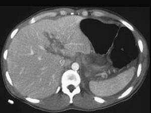
男,42岁,肝区钝器伤后2小时,CT扫描如图,最可能的诊断是 ( )A、脂肪肝B、肝内胆管扩张C、肝淋巴管瘤D、肝挫裂伤E、肝胆管细胞癌

作者: rantiku 人气: - 评论: 0
问题 男,42岁,肝区钝器伤后2小时,CT扫描如图,最可能的诊断是 ( )
选项 A、脂肪肝 B、肝内胆管扩张 C、肝淋巴管瘤 D、肝挫裂伤 E、肝胆管细胞癌
答案 D
解析

猜你喜欢

发表评论
更多 网友评论0 条评论)
暂无评论

访问排行

Copyright © 2012-2014 恰考网 Inc. 保留所有权利。 Powered by tikuer.com

页面耗时0.0675秒, 内存占用1.02 MB, Cache:redis,访问数据库14次