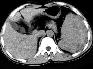
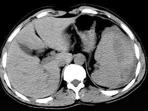
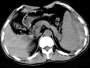
男、52岁1小时前车祸,伤及左季肋区,CT扫描如图,最可能的诊断是 ( )A、脾脓肿B、脾淋巴瘤C、脾破裂D、脾血管瘤E、脾梗死

作者: rantiku 人气: - 评论: 0
问题 男、52岁1小时前车祸,伤及左季肋区,CT扫描如图,最可能的诊断是 ( )
选项 A、脾脓肿 B、脾淋巴瘤 C、脾破裂 D、脾血管瘤 E、脾梗死
答案 C
解析

猜你喜欢

发表评论
更多 网友评论0 条评论)
暂无评论

访问排行

Copyright © 2012-2014 恰考网 Inc. 保留所有权利。 Powered by tikuer.com

页面耗时0.0322秒, 内存占用1.03 MB, Cache:redis,访问数据库17次