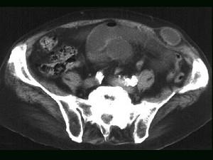
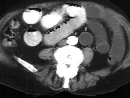
女,60岁,反复左下腹隐痛约20年,伴包块外突2年余,站立或增加腹压后有一包块外凸,质地较软,平卧时消失且腹痛缓减,CT检查如图,最可能的诊断是 ( ) ...

作者: rantiku 人气: - 评论: 0
问题 女,60岁,反复左下腹隐痛约20年,伴包块外突2年余,站立或增加腹压后有一包块外凸,质地较软,平卧时消失且腹痛缓减,CT检查如图,最可能的诊断是 ( )
选项 A、腹壁转移瘤 B、盲肠炎 C、半月线疝 D、腹壁脂肪瘤 E、肠梗阻
答案 C
解析

猜你喜欢

发表评论
更多 网友评论0 条评论)
暂无评论

访问排行

Copyright © 2012-2014 恰考网 Inc. 保留所有权利。 Powered by tikuer.com

页面耗时0.0521秒, 内存占用1.03 MB, Cache:redis,访问数据库18次