男,65岁,中上腹痛腹胀、消瘦、乏力、纳差,影像检查如图,最可能的诊断是 ( )A、胃窦癌B、胃淋巴瘤C、萎缩性胃炎D、肥厚性...

作者: rantiku 人气: - 评论: 0
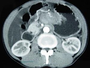
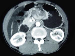
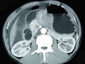
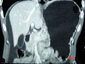
问题 男,65岁,中上腹痛腹胀、消瘦、乏力、纳差,影像检查如图,最可能的诊断是 ( )
选项 A、胃窦癌 B、胃淋巴瘤 C、萎缩性胃炎 D、肥厚性胃炎 E、胃间质瘤
答案 A
解析

猜你喜欢

发表评论
更多 网友评论0 条评论)
暂无评论

访问排行

Copyright © 2012-2014 恰考网 Inc. 保留所有权利。 Powered by tikuer.com

页面耗时0.0524秒, 内存占用1.03 MB, Cache:redis,访问数据库14次