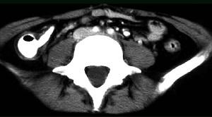
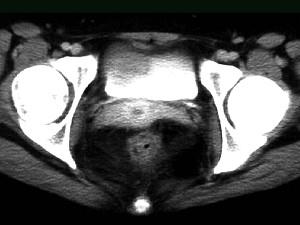
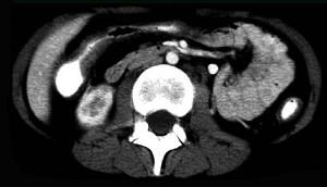
女,32岁,腹痛、腹泻、便秘交替出现,黏液血便半年,里急后重,影像检查如图,最佳的诊断是 ( )A、溃疡性结肠炎B、肠结核C、慢性结肠...

作者: rantiku 人气: - 评论: 0
问题 女,32岁,腹痛、腹泻、便秘交替出现,黏液血便半年,里急后重,影像检查如图,最佳的诊断是 ( )
选项 A、溃疡性结肠炎 B、肠结核 C、慢性结肠炎 D、过敏性结肠炎 E、结肠癌
答案 A
解析

猜你喜欢

发表评论
更多 网友评论0 条评论)
暂无评论

访问排行

Copyright © 2012-2014 恰考网 Inc. 保留所有权利。 Powered by tikuer.com

页面耗时0.0905秒, 内存占用1.03 MB, Cache:redis,访问数据库16次