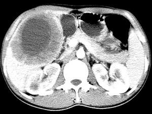
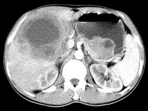
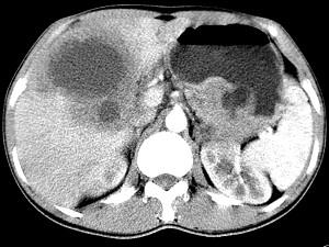
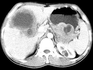
女,61岁,上腹部疼痛一个月,食欲减退,消瘦,CT所见如图,最可能的诊断是 ( )A、肝包虫病B、原发性肝癌C、肝转移瘤D、胃...

作者: rantiku 人气: - 评论: 0
问题 女,61岁,上腹部疼痛一个月,食欲减退,消瘦,CT所见如图,最可能的诊断是 ( )
选项 A、肝包虫病 B、原发性肝癌 C、肝转移瘤 D、胃癌肝转移 E、肝脓肿
答案 D
解析

猜你喜欢

发表评论
更多 网友评论0 条评论)
暂无评论

访问排行

Copyright © 2012-2014 恰考网 Inc. 保留所有权利。 Powered by tikuer.com

页面耗时0.0416秒, 内存占用1.03 MB, Cache:redis,访问数据库18次