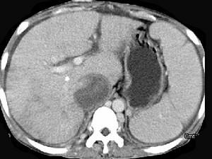
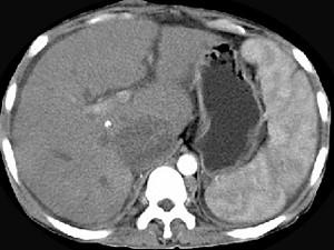
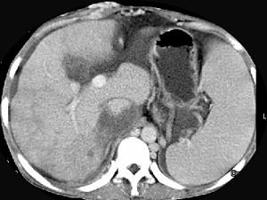
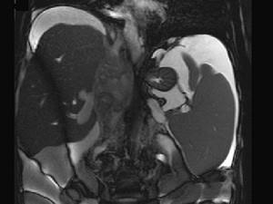
女性,26岁,腹胀不适7月,腹软,肝右肋缘下1cm,影像检查如图,可能的诊断为 ( )A、布加综合征B、脂肪肝C、原发性肝癌D...

作者: rantiku 人气: - 评论: 0
问题 女性,26岁,腹胀不适7月,腹软,肝右肋缘下1cm,影像检查如图,可能的诊断为 ( )
选项 A、布加综合征 B、脂肪肝 C、原发性肝癌 D、肝硬化腹水 E、肝血管瘤
答案 A
解析

猜你喜欢

发表评论
更多 网友评论0 条评论)
暂无评论

访问排行

Copyright © 2012-2014 恰考网 Inc. 保留所有权利。 Powered by tikuer.com

页面耗时0.0393秒, 内存占用1.03 MB, Cache:redis,访问数据库18次