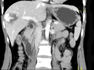
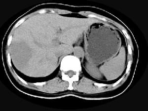
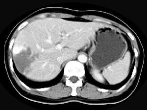
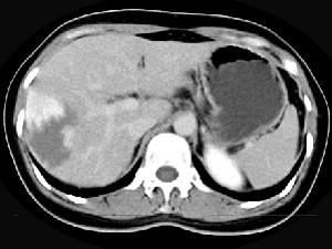
女,38岁,无任何症状,体检发现肝右叶占位性病变,增强表现如图,最可能的诊断为 ( )A、肝脓肿B、肝腺瘤C、肝转移瘤D、肝血...

作者: rantiku 人气: - 评论: 0
问题 女,38岁,无任何症状,体检发现肝右叶占位性病变,增强表现如图,最可能的诊断为 ( )
选项 A、肝脓肿 B、肝腺瘤 C、肝转移瘤 D、肝血管瘤 E、原发性肝癌
答案 D
解析

猜你喜欢

发表评论
更多 网友评论0 条评论)
暂无评论

访问排行

Copyright © 2012-2014 恰考网 Inc. 保留所有权利。 Powered by tikuer.com

页面耗时0.0426秒, 内存占用1.03 MB, Cache:redis,访问数据库18次