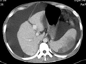
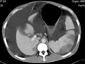
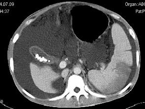
患者男,29岁,乙肝病史10余年,腹胀,有移动性浊音,影像检查如图,最全面的诊断是 ( )A、大网膜膈下间位及脾梗B、胆结石及脾梗...

作者: rantiku 人气: - 评论: 0
问题 患者男,29岁,乙肝病史10余年,腹胀,有移动性浊音,影像检查如图,最全面的诊断是 ( )
选项 A、大网膜膈下间位及脾梗 B、胆结石及脾梗 C、肝硬化腹水 D、肝硬化腹水、脾梗、胆囊结石 E、肝硬化
答案 D
解析

猜你喜欢

发表评论
更多 网友评论0 条评论)
暂无评论

访问排行

Copyright © 2012-2014 恰考网 Inc. 保留所有权利。 Powered by tikuer.com

页面耗时0.0592秒, 内存占用1.03 MB, Cache:redis,访问数据库19次