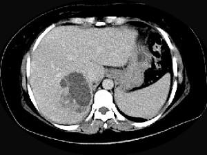
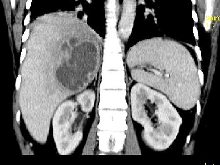
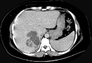
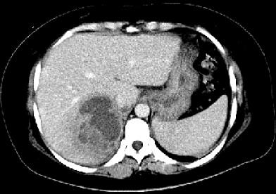
女,36岁,右上腹痛,有发热,白细胞计数升高,CT检查如图,最可能诊断是 ( )A、肝黄色肉芽肿B、肝胆管细胞癌C、肝淋巴管瘤...

作者: rantiku 人气: - 评论: 0
问题 女,36岁,右上腹痛,有发热,白细胞计数升高,CT检查如图,最可能诊断是 ( )
选项 A、肝黄色肉芽肿 B、肝胆管细胞癌 C、肝淋巴管瘤 D、肝脓肿 E、原发性肝癌
答案 D
解析

猜你喜欢

发表评论
更多 网友评论0 条评论)
暂无评论

访问排行

Copyright © 2012-2014 恰考网 Inc. 保留所有权利。 Powered by tikuer.com

页面耗时0.0345秒, 内存占用1.03 MB, Cache:redis,访问数据库14次