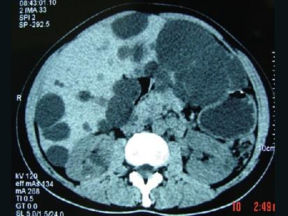
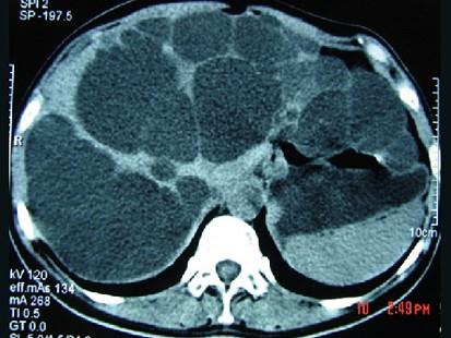
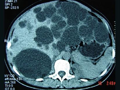
女,20岁,右上腹胀,影像表现如图,最可能的诊断是 ( )A、肝脓肿并肾囊肿B、多发性肝囊肿并多发性肾囊肿C、多囊肝并肾多发囊肿 ...

作者: rantiku 人气: - 评论: 0
问题 女,20岁,右上腹胀,影像表现如图,最可能的诊断是 ( )
选项 A、肝脓肿并肾囊肿 B、多发性肝囊肿并多发性肾囊肿 C、多囊肝并肾多发囊肿 D、肝淋巴管瘤并多发性肾囊肿 E、先天性肝内胆管扩张并多囊肾
答案 C
解析

猜你喜欢

发表评论
更多 网友评论0 条评论)
暂无评论

访问排行

Copyright © 2012-2014 恰考网 Inc. 保留所有权利。 Powered by tikuer.com

页面耗时0.0327秒, 内存占用1.03 MB, Cache:redis,访问数据库19次