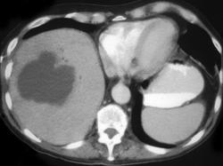
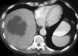
女,35岁,右上腹痛、高热、白细胞计数升高,CT扫描如图,最可能的诊断是 ( )A、肝淋巴瘤B、肝胆管细胞癌C、肝脓肿D、肝炎性假瘤 ...

作者: rantiku 人气: - 评论: 0
问题 女,35岁,右上腹痛、高热、白细胞计数升高,CT扫描如图,最可能的诊断是 ( )
选项 A、肝淋巴瘤 B、肝胆管细胞癌 C、肝脓肿 D、肝炎性假瘤 E、肝癌
答案 C
解析

猜你喜欢

发表评论
更多 网友评论0 条评论)
暂无评论

访问排行

Copyright © 2012-2014 恰考网 Inc. 保留所有权利。 Powered by tikuer.com

页面耗时0.0768秒, 内存占用1.03 MB, Cache:redis,访问数据库15次