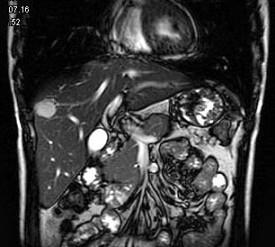
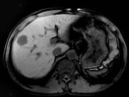
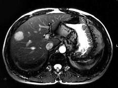
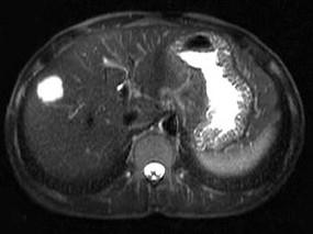
男,42岁。体检B超发现肝内占位,行MRI检查见肝右叶长T1长T2异常信号。依据MRI图应诊断为 ( )A、肝脏单发转移瘤B、未见异常...

作者: rantiku 人气: - 评论: 0
问题 男,42岁。体检B超发现肝内占位,行MRI检查见肝右叶长T1长T2异常信号。依据MRI图应诊断为 ( )
选项 A、肝脏单发转移瘤 B、未见异常 C、肝血管瘤 D、肝癌 E、肝囊肿
答案 C
解析

猜你喜欢

发表评论
更多 网友评论0 条评论)
暂无评论

访问排行

Copyright © 2012-2014 恰考网 Inc. 保留所有权利。 Powered by tikuer.com

页面耗时0.0328秒, 内存占用1.03 MB, Cache:redis,访问数据库18次