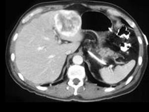
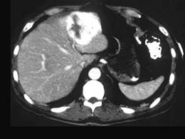
男,40岁,中上腹胀疼不适,CT扫描如图,最佳的诊断为 ( )A、肝血管瘤B、肝血管内皮瘤C、胆管细胞癌D、肝转移瘤E、原发性肝癌

作者: rantiku 人气: - 评论: 0
问题 男,40岁,中上腹胀疼不适,CT扫描如图,最佳的诊断为 ( )
选项 A、肝血管瘤 B、肝血管内皮瘤 C、胆管细胞癌 D、肝转移瘤 E、原发性肝癌
答案 A
解析

猜你喜欢

发表评论
更多 网友评论0 条评论)
暂无评论

访问排行

Copyright © 2012-2014 恰考网 Inc. 保留所有权利。 Powered by tikuer.com

页面耗时0.0393秒, 内存占用1.03 MB, Cache:redis,访问数据库18次