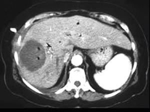
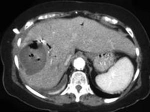
男,48岁,寒战高热,右上腹痛一天,CT检查如图所示,最可能的诊断是 ( )A、肝错构瘤B、肝转移瘤C、肝脓肿D、胆管细胞癌E、原...

作者: rantiku 人气: - 评论: 0
问题 男,48岁,寒战高热,右上腹痛一天,CT检查如图所示,最可能的诊断是 ( )
选项 A、肝错构瘤 B、肝转移瘤 C、肝脓肿 D、胆管细胞癌 E、原发性肝癌
答案 C
解析

猜你喜欢

发表评论
更多 网友评论0 条评论)
暂无评论

访问排行

Copyright © 2012-2014 恰考网 Inc. 保留所有权利。 Powered by tikuer.com

页面耗时0.0414秒, 内存占用1.03 MB, Cache:redis,访问数据库20次