女,73岁,中上腹痛一月余,患者黄疸、消瘦,CT检查如下图,最可能的诊断是 ( )A、肝淋巴管瘤B、肝胆管细胞癌C、巨块型肝癌...

作者: rantiku 人气: - 评论: 0
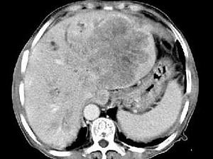
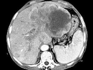
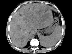
问题 女,73岁,中上腹痛一月余,患者黄疸、消瘦,CT检查如下图,最可能的诊断是 ( )
选项 A、肝淋巴管瘤 B、肝胆管细胞癌 C、巨块型肝癌 D、肝血管瘤 E、肝脓肿
答案 C
解析

猜你喜欢

发表评论
更多 网友评论0 条评论)
暂无评论

访问排行

Copyright © 2012-2014 恰考网 Inc. 保留所有权利。 Powered by tikuer.com

页面耗时0.0745秒, 内存占用1.03 MB, Cache:redis,访问数据库14次