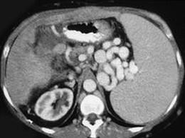
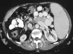
男,50岁,患乙肝多年,现腹胀,右上腹痛,消化不良,消瘦、乏力、贫血、黄疸,血清转氨酶升高,白蛋白/球蛋白比值倒置。CT检查如下图,最可能的诊断是 ( )...

作者: rantiku 人气: - 评论: 0
问题 男,50岁,患乙肝多年,现腹胀,右上腹痛,消化不良,消瘦、乏力、贫血、黄疸,血清转氨酶升高,白蛋白/球蛋白比值倒置。CT检查如下图,最可能的诊断是 ( )
选项 A、肝硬化、门脉曲张、脾大 B、肝硬化、脾大 C、肝硬化、腹膜后淋巴结肿大 D、肝硬化、肝癌、腹膜后淋巴结肿大 E、肝硬化、肝癌
答案 A
解析

猜你喜欢

发表评论
更多 网友评论0 条评论)
暂无评论

访问排行

Copyright © 2012-2014 恰考网 Inc. 保留所有权利。 Powered by tikuer.com

页面耗时0.0704秒, 内存占用1.03 MB, Cache:redis,访问数据库16次