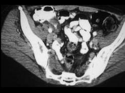
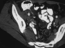
男,42岁,右下腹痛、腹胀半年,无浅表淋巴结肿大,影像检查如图,最可能的诊断是 ( )A、肠结核B、腹膜后纤维化C、结肠癌D、croh...

作者: rantiku 人气: - 评论: 0
问题 男,42岁,右下腹痛、腹胀半年,无浅表淋巴结肿大,影像检查如图,最可能的诊断是 ( )
选项 A、肠结核 B、腹膜后纤维化 C、结肠癌 D、crohn病 E、淋巴瘤
答案 D
解析

猜你喜欢

发表评论
更多 网友评论0 条评论)
暂无评论

访问排行

Copyright © 2012-2014 恰考网 Inc. 保留所有权利。 Powered by tikuer.com

页面耗时0.0501秒, 内存占用1.03 MB, Cache:redis,访问数据库19次