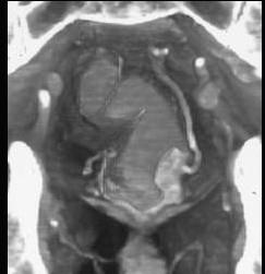
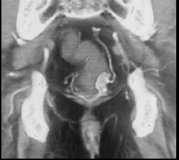
男,50岁,血便,大便形状改变,CT如图,应考虑为 ( )A、直肠腺瘤B、直肠淋巴瘤C、直肠内粪便D、直肠癌E、直肠息肉

作者: rantiku 人气: - 评论: 0
问题 男,50岁,血便,大便形状改变,CT如图,应考虑为 ( )
选项 A、直肠腺瘤 B、直肠淋巴瘤 C、直肠内粪便 D、直肠癌 E、直肠息肉
答案 D
解析

猜你喜欢

发表评论
更多 网友评论0 条评论)
暂无评论

访问排行

Copyright © 2012-2014 恰考网 Inc. 保留所有权利。 Powered by tikuer.com

页面耗时0.0354秒, 内存占用1.03 MB, Cache:redis,访问数据库17次