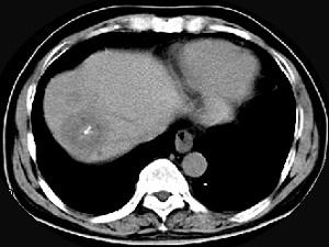
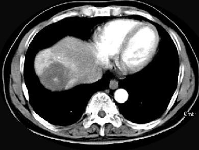
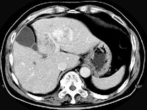
男性,54岁,右上腹部不适,CT检查如图,最可能的诊断是 ( )A、肝血管瘤伴肝脓肿B、肝血管瘤伴炎性肉芽肿C、肝多发血管瘤D...

作者: rantiku 人气: - 评论: 0
问题 男性,54岁,右上腹部不适,CT检查如图,最可能的诊断是 ( )
选项 A、肝血管瘤伴肝脓肿 B、肝血管瘤伴炎性肉芽肿 C、肝多发血管瘤 D、肝血管瘤伴肝癌 E、肝血管瘤伴转移瘤
答案 C
解析

猜你喜欢

发表评论
更多 网友评论0 条评论)
暂无评论

访问排行

Copyright © 2012-2014 恰考网 Inc. 保留所有权利。 Powered by tikuer.com

页面耗时0.0463秒, 内存占用1.03 MB, Cache:redis,访问数据库13次