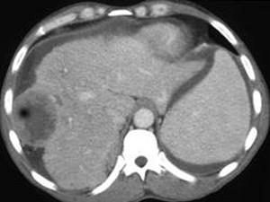
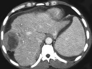
女,47岁,曾患乙肝,现右上腹及肝区疼痛、腹胀,消瘦乏力半月,AFP阳性,CT扫描如图,请选择最可能答案 ( )A、肝转移瘤B、肝包虫病C...

作者: rantiku 人气: - 评论: 0
问题 女,47岁,曾患乙肝,现右上腹及肝区疼痛、腹胀,消瘦乏力半月,AFP阳性,CT扫描如图,请选择最可能答案 ( )
选项 A、肝转移瘤 B、肝包虫病 C、肝血管瘤 D、肝脓肿 E、肝癌
答案 E
解析

猜你喜欢

发表评论
更多 网友评论0 条评论)
暂无评论

访问排行

Copyright © 2012-2014 恰考网 Inc. 保留所有权利。 Powered by tikuer.com

页面耗时0.0407秒, 内存占用1.03 MB, Cache:redis,访问数据库16次