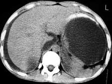
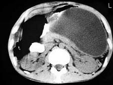
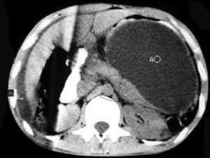
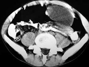
男,33岁,腹部外伤后两月余,腹部疼痛,行CT扫描所见如图,最可能的诊断是 ( )A、畸胎瘤B、腹腔包裹性积血C、慢性胰腺炎D...

作者: rantiku 人气: - 评论: 0
问题 男,33岁,腹部外伤后两月余,腹部疼痛,行CT扫描所见如图,最可能的诊断是 ( )
选项 A、畸胎瘤 B、腹腔包裹性积血 C、慢性胰腺炎 D、胰腺创伤性假性囊肿 E、急性胰腺炎
答案 D
解析

猜你喜欢

发表评论
更多 网友评论0 条评论)
暂无评论

访问排行

Copyright © 2012-2014 恰考网 Inc. 保留所有权利。 Powered by tikuer.com

页面耗时0.0515秒, 内存占用1.03 MB, Cache:redis,访问数据库13次