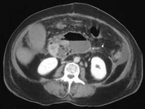
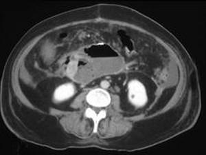
女,33岁,发热,中上腹压痛反跳痛,血清淀粉酶增高,CT检查如图,最可能的诊断是 ( )A、胰腺假性囊肿B、胰腺癌C、慢性胰腺炎D、胰...

作者: rantiku 人气: - 评论: 0
问题 女,33岁,发热,中上腹压痛反跳痛,血清淀粉酶增高,CT检查如图,最可能的诊断是 ( )
选项 A、胰腺假性囊肿 B、胰腺癌 C、慢性胰腺炎 D、胰腺脓肿 E、急性胰腺炎
答案 D
解析

猜你喜欢

发表评论
更多 网友评论0 条评论)
暂无评论

访问排行

Copyright © 2012-2014 恰考网 Inc. 保留所有权利。 Powered by tikuer.com

页面耗时0.0424秒, 内存占用1.03 MB, Cache:redis,访问数据库16次