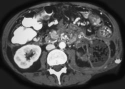
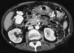
女性,34岁,寒战、高热、急性中上腹偏左腹痛,压痛,CT扫描如图,最可能的诊断是 ( )A、胰腺癌B、胰腺转移癌C、胰腺脓肿D、慢性胰...

作者: rantiku 人气: - 评论: 0
问题 女性,34岁,寒战、高热、急性中上腹偏左腹痛,压痛,CT扫描如图,最可能的诊断是 ( )
选项 A、胰腺癌 B、胰腺转移癌 C、胰腺脓肿 D、慢性胰腺炎急性发作 E、急性胰腺炎
答案 C
解析

猜你喜欢

发表评论
更多 网友评论0 条评论)
暂无评论

访问排行

Copyright © 2012-2014 恰考网 Inc. 保留所有权利。 Powered by tikuer.com

页面耗时0.0584秒, 内存占用1.03 MB, Cache:redis,访问数据库19次